【保険適用】虫歯の審美的治療と噛み合わせ調整|さいたま市の本郷歯科クリニック
2021年08月2日
保険の範囲内で、虫歯を審美的改善し、噛み合わせを再構成したケースになります。
![]() |
![]() |

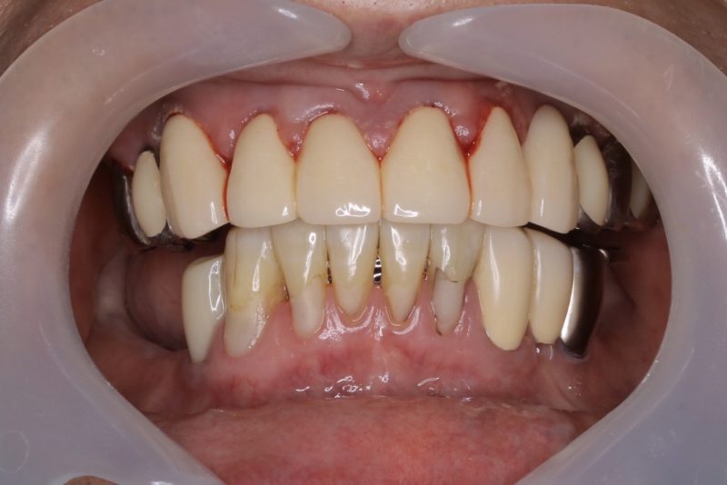
2019年04月8日
歯周病が原因でガタガタになっていた歯を治療した症例です。
不揃いだった歯が整い「審美性」が向上。
同時に、噛み合わせが良くなったことで「機能性」も回復しました。
![]() |
![]() |
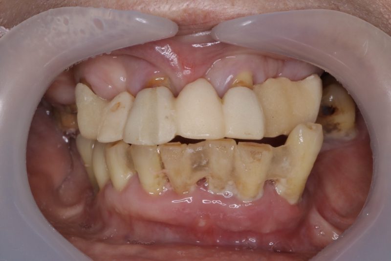
2019年03月18日
欠損した歯の修復を行った症例です。
左上2番の歯は前装冠(白い被せ物)、右下4番の歯はCADCAM冠(白い被せ物)でそれぞれ対処しました。
![]() |
![]() |
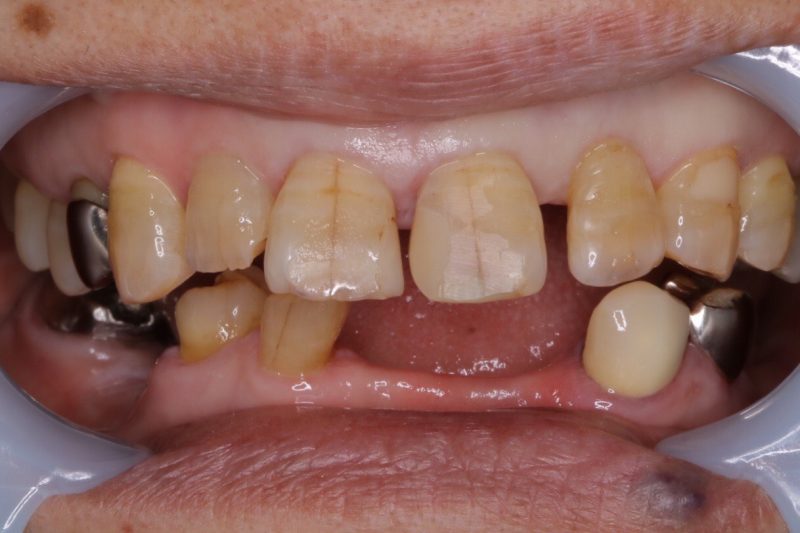
2019年02月13日
矮小歯(小さい歯)の改善のために来院された方の写真です。
治療箇所は前歯の両隣に位置する上顎側切歯です。
ダイレクトボンディングで修復し、全体的な審美性を向上させました。
![]() |
![]() |
当院では、患者様が抱えていらっしゃるお口のお悩みや疑問・不安などにお応えする機会を設けております。どんなことでも構いませんので、私達にお話ししていただけたらと思います。
ご興味がある方は下記からお問い合わせください。
当院で治療した症例は治療症例集をご参照ください。
治療費は料金表をご参照ください。